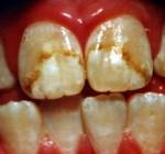
‘fluorosis’ Published March 10, 2013 at 232 × 217 in Renovating Your Mind With Fluoride In Our Water, Protection Or A Threat To Health ‹ Back
Leave a comment